Cabinet d'Orthodontie du Dr Frédérique BALLY GENET
Orthodontiste à Nice (06)
38 Boulevard Victor Hugo, 06000 Nice
+33 4 93 16 84 92
Cabinet d'Orthodontie du Dr Frédérique BALLY GENET
Orthodontiste à Nice (06)

Blog - Page 3

Traitement orthodontique esthétique par gouttières

Traitement orthodontique esthétique par gouttières

Nettoyage des brackets avec brossette interdentaire

Nettoyage des brackets avec brossette interdentaire

Expansion palatine - activation du disjoncteur

Expansion palatine - activation du disjoncteur

Orthodontie : au-delà de l’esthétique, un atout santé

Orthodontie : au-delà de l’esthétique, un atout santé

Source: Nice-matin - Samedi 7 avril 2018

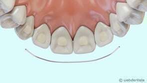
Fil de contention

Fil de contention

Traitement multi-attaches

Traitement multi-attaches

Affichage des articles 13-18 sur 93

Création par Webdentiste

Connexion